제가 처음 주걱턱 교정을 상담받은곳이 강남이라 아직도 강남에 있는 치과로 다니고 있는데요?
교정은 몇달 전에 끝났고, 치아배열만 남아서 아직 교정중인데
한달 주기로 점검을 받고 있습니다.

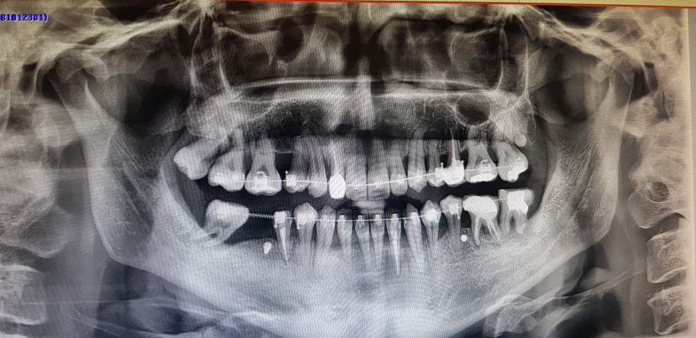
이게 몇일 전 찍었던 엑스레이 사진인데
그래도 처음보다 상당히 낳아진 치아 상태죠;;
오른쪽 윗쪽 어금니 부분 보면 사랑니가 튀어나와있는게 보일겁니다.

이게 확대한 부분인데 좌측에 보이는건 필요없는 사랑니라서 음식물도 끼고 하기에
제거하는게 좋다고 하더군요;;
(사실... 과거 왠쪽 어금니 뿌리쪽에 박혀있던 사랑니 제거 하다가 죽다 살아났던 기억이 있다는;;)

요번에 치아 보철기 점검중 어금니에 임시적으로 붙혀놨던 플라스틱을 제거 하면서
오래 전 매꿔뒀던? 아말감?이 같이 떨어져 나갔더군요.
몇년전에 치료했던 곳이라 오래되서 떨어져나갔다고는 하는데 저 역시도 갈때가 된건 인지하고 있었죠.
여튼~! 치료하려면 몇일있다가 다시 강남에 와야된다고 하길래
집이랑 가까운 치과에 가서 떼운다고 하고 나왔었죠.

그래서 들른곳이 연세퍼스트치과 인데요?
전에도 한번 갔었는데 상당히 맘에 들었기에 다음에도 갈 일 있으면 여기와야겠다 생각하고 있었죠.
물론 여기가 꽤 유명해서 그런건지 한번 치료 받으려면 예약하고 최소 1주일 기본으로 기다려야 하는게 흠이긴 합니다.

강남쪽 치과에서는 윗쪽 어금니를 인레이나, 레진을 하라고 하던데
연세치과에선 아직 치아교정이 중이라 인레이, 레진을 하게되면
교정이 끝난 다음엔 치아 위치가 변경될 수도 있고, 다시 해야되는
상황이 발생할 수도 있다 해서 임시로 살짝 때우는게 낳다고 하더군요.
이런거 생각해보면 상당히 정직하게 하는 치과 같긴 합니다.
상동근처 있으신 분들 여기 한번 가보시길 강추 합니다. ^^
'나만의 일상 > 장소리뷰' 카테고리의 다른 글
| 모나코펍 홀덤토너먼트 (0) | 2020.01.24 |
|---|---|
| 모나코 홀덤바 배당 좋네요~! (7) | 2020.01.02 |
| GRF 홀덤 대구 대회 후기 (0) | 2019.11.07 |
| KMGM 홀덤 하트그랑프리 (5) | 2019.09.27 |
| 상동 티업비전 스크린골프장 (11) | 2019.01.22 |