어제 치아교정 정기검진 다녀왔다.
요건 쉽게 탈, 부착이 가능하지만
밥 먹을때도, 잘때도, 24시간 항상 착용하고 있어야 하기에..
물론 말 할때 마다 혀를 다 움직이지 못하니 발음이 어눌해 져서
말 할땐 탈착하고, 말 끝나면 다시 장착하고 하는 식으로 3개월을
임시로 착용 하고 있었다.
이제 드디어 다음단계로 가는구나... 싶어 좋아한 것도 잠시...
겨우 적응되어 밥 먹을때도 음식물을 씹는 용도로 잘 사용 했는데
요거 없이 밥 먹으려니 치아들이 우측으로 많이 쏠려있어서
그런지 밥먹는데 너무 힘들다;;
그냥 느낌상 틀니가 없어 잇몸으로 씹어먹는 기분이다;;
엎친데 덮친격 으로 이제 이틀째로 접어 들었고
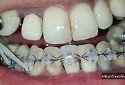
치아와, 치아 사이에 달려 있던 플라스틱과, 쇠?? 들을 서로
연결해 주는 철사를 더 굵은 철사로 바꾸고, 2중으로 조였다.
치과 간호사분이 철사를 지그 재그로 감을 때 다행히 고통은 없었지만 꾹! 눌르면서 철사를 꽉 조일때
치아가 부러질까봐 어찌나 심장이 조마조마 하던지;; 물론 잘 끝났지만..
그리고 좌, 우 어금니 뿌리 옆에 두개의 미니스크류를 박았던 용도를 이제야 알았다. ;;
아마도 치아가 안쪽으로 많이 쏠려 있기에 고무줄을 이용해서 밖으로 벌리려는 용도인것 같다.
그렇게 교정치료를 받고 나서 다른건 문제 되는건 없는데
이제 교정 6개월 째로 접어들어 아랫 턱이 조금 들어간 것 같은게
입을 다물고 있을 때 앞쪽 아랫니들이 윗니들과 부딧쳐서 어금니쪽들은 전혀 안물린다.
해서 윗니들이 아랫니를 덮기 전 까지 요 파랑색 플라스틱 같은걸 윗 어금니에 붙혀놨다.
덕분에 입을 다물어도 어금니쪽이 먼저 닿기는 하지만
저 두개로만 음식물을 씹어 먹어야 한다 -_-;;;;
앞니들끼리 부딧치는 것 때문에 이렇게 한다고는 하지만;;
학생도 아닌 직장생활 중인 나에게는 밥 먹을때 마다 상당히 난처하다. ㅡㅡ;;
밥 먹는데만 40분이 넘게 걸린다는;;
거기다 이제는 어금니 부분까지 완전히 치아들울 다 묶어놔서
치료 후 30시간이 지난 지금 윗니 몇개 빼고 철사 연결 된 치아들은
전부 욱신거려서 빵조차도 먹을 수 없는 상황이다;;
아... 적응 될만 하면 이러고, 또 적응될 만 하면 이러고 참;;
앞으로 2년 이상을 이렇게 지내야 되는데 휴;;
그래도 기왕 시작한거 돈도 이미 다 지불했으니
어떻게든 버텨 봐야지 -_-;;
제발 깔끔하게 잘 치료 되기를 바라며...
이상 부정교합 일기 #11 끝!
'부정교합 교정일기' 카테고리의 다른 글
| 교정치료 #13 브라켓사이의 철사를 고무줄로 교체 (6) | 2018.04.18 |
|---|---|
| 치아 교정중 #12 굵은 브라켓으로 교체 (6) | 2018.03.24 |
| 부정교합 교정 정기검진 #10 (4) | 2018.01.31 |
| 스크류 장착 후 다음 방문일 #9 (8) | 2017.12.28 |
| 스크류 장착후 25일째 #8 (0) | 2017.12.16 |