전에 한번 임플란트 전문 치과를 방문해서 어금니와, 바로 앞 치아 두개를 같이 수술했었는데
난생처음 하는 임플란트라 너무 겁도나고 무서웠지만... 그래도 지금 안하면 나중엔 틀니를 할 수 밖에
없는 상황이 생긴다 해서 그냥 죽었다 생각하고 수술 했었다..
그렇게 두달이 흘러 재방문 후 기둥을 새우고(요건 별로 안아픔), 머리를 올려서 마무리 했었다.
그리고 2주 후....
공포의 시간은 다시 돌아왔다...
어느덧 반대쪽 어금니를 뽑고 임플란트 할 시기가 온 것이다...

화면상에서 왼쪽치아 두개는 잘 됐다고 해서 다행인데
오른쪽 어금니 치아 두개다가 상태가 영...심각하다..
오른쪽 어금니가 저렇게 된 이유는 과거에(12년전 쯤) 사랑니가 어금니 옆쪽을 치고 나오면서
칫솔이 잘 닫지않는 맨구석이라 양치가 잘 안됐었고, 사랑니에 충치가 생기면서
멀쩡한 어금니 옆면까지 치고 나오면서 충치가 옮겨 붙었다.
결국 잇몸이 부어오르면서 통증이 심한 상태로 치과를 갔었는데
사랑니가 잇몸 안에서 다 자랐고 썪은 상태여서 뽑을수 없었고 결국 수술을 해야 했었다..
그당시 잇몸찟고, 망치로 깨고, 치과의자가 들썩들썩 거릴 정도로 뺀치로 후벼파고.... 그렇게 끝나긴 했으나...
수술 후 관리를 잘 못한건지 이틀내내 피가 안멈춰서 응급실에 실려간 적도 있었다.
그후 치과 가기가 더 무서워졌고, 물론 그러면 안되지만 왠만큼 통증이 있어도
그냥 참아버리고 안갔다..
그러면서 자연스레 내 치아들은 이렇게 엉망진창 망가지게 된 것이고...
그렇게 망가졌던 치아들을 조금 늦었지만 지금이라도 하나 둘씩 복구해 가고 있는 중이다.
말이 점점 산으로 가네;;
다시 본론으로~

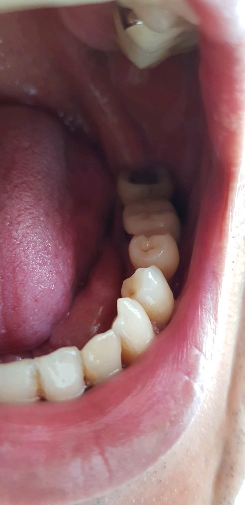
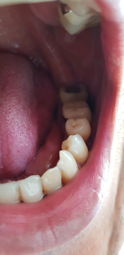
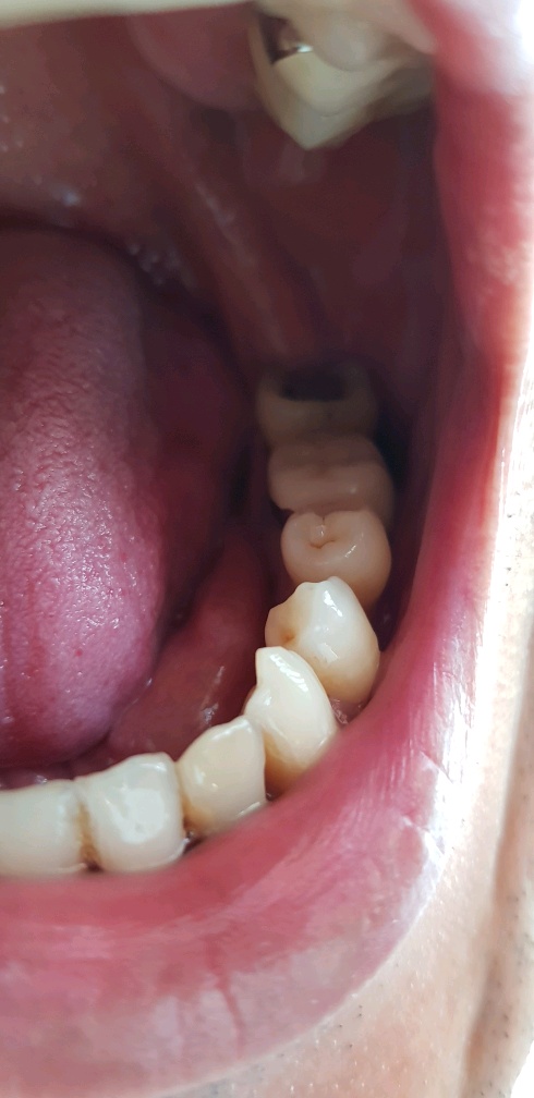
왠쪽 어금니 뽑기전 마지막 사진...
이렇게 뺄거였으면 차라리 2주전 교정치과에서 거금들여서 치료 안하는 거였는데 ㅡㅡ;;
처음엔 임플란트를 하나만 할 예정이였으나, 작은어금니의 뿌리도 상태가 안좋으니 같이 해야 한다는
원장님의 강력한 주장으로
앉은자리에서 한 20분을 고민하고 고민하고... 한 끝에 처음할 때의 무서움이 떠오르지만...수술하기로 결정했다.

그렇게 뽑고, 긁어내고(제일 병맛같은 부분이 염증 긁어낼때임) 전동드릴로?? 단계별로 구멍 넓혀주고..
그렇게 30분 정도가 흐른 후 잘 박혔는지 엑스레이 찍고 후덜덜 한 상태로 드디어 끝났다...
잘심어진 건지는 모르겠으나.. 그냥 내가 겉보기엔 다행히도 잘 된거 같다..
근데 바로 앞의 치아뿌리가 왜저리 올라와 있는건지...;;
조만간에 저것도 해야된다고 하는거 아닌가 모르겠다 쩝..

그런데 임플란트는 두번째 문제였고 또하나의 더 큰 문제가 있었다.
몇일 전 부터(저번주 금요일) 밤에 잠을 못잘 정도로 고통이 심해서 진통제를 2알씩 먹고 자다가
통증이 심해져서 새벽에 잠을 깨서 또 진통제를 먹고 자고 하는 식으로 버티고 있는 상태였고
볼살이 볼록 튀어나올 정도로 잇몸이 부었다..
임플란트 하러 간 김에 이 치아도 같이 봐달라 했는데
여기 원장님 말로는 엑스레이 보여주면서
다른 교정치과에서 치료했던 치아가 문제인것 같다 한다..
신경치료 하면서 심어놨던 하얀색(치아뿌리의 중간부분)이 치아뿌리 안쪽에만 있어야 되는데
뿌리를 넘어서서 아픈것일 수도 있다고 하고(실제로 살짝 딱딱한걸 깨물어 보면 통증이 장난아니다..)
두번째로는 화살표 표시해둔 부분 이부분이 치아뿌리 끝 부터 염증이 생겨서 아픈것 일수도 있다고 한다..
우선 임플란트수술 하고 집에 오긴 했으나 수술한 곳은 안아픈데 동그란표시해 둔 저 치아가 너무 아파서
몇시간 마다 진통제 없이는 못버틸 정도로 아프다...
저 치아도 뽑고 임플란트 해야된다는 건지.... 햐~ 참나..



그렇게 168만원(뼈이식포함) 처방전 받고 집에왔으나...
피는 아직도 안멈출 뿐이고... 위에 언급한 반대쪽 치아쪽 잇몸은 부어있는 상태고...
휴~ 총체적 난국이구만....
이상 임플란트 일기 끝!
'부정교합 교정일기' 카테고리의 다른 글
| 3년동6개월을 끝으로 비수술 주걱턱 교정일기 정리해봤습니다. (4) | 2020.09.18 |
|---|---|
| 임플란트 통증#2 (8) | 2020.05.12 |
| 어느덧 26개월째 교정중... (9) | 2019.10.09 |
| 치아교정 #21 윗니 와이어 교체 (7) | 2019.01.19 |
| 주걱턱 교정장치 제거 #20 (17) | 2018.12.06 |