내 치아 상태는 위아래의 부정교합(이~ 했을 때 보통 사람들과는 조금 틀리게 밑의 치아가 윗 치아들을 덮는 반대교합)이 아주~ 심한 정도까지는 아니여도 그냥 보기에도 주걱턱이 확연히 들어나 있는 상황 이였다.

이 때문에 무슨 사진이든 찍을 때 마다 개인적인 콤플렉스로 항상 스트레스 였다.
그러다 비수술 주걱턱교정 이라는 교정치과를 알게 되고 방문 상담 했었다.
https://excitingyong.com/461?category=727467
주걱턱 부정교합의 첫 상담과, 면담 #1
오늘 주걱턱, 부정교합의 새로운 카테고리를 하나 만들었습니다. 앞으로 내 턱과, 이빨들이 어떻게 변화되는지 상담부터, 어떤 통증들이 있는지 낱낱이 기록해 보려 합니다. 뭐 어떻게 보면 나��
excitingyong.com
비록 목돈이 좀 들어가긴 해도 주걱턱 수술 할 때 보다 비용도 훨씬 저렴한데다가
그 무서운 턱뼈를 깎아내는 수슬을 안해도 된다는 것 자체가 나에겐 상당히 희소식 이였다.
물론 가지런한 치아상태와 보기좋은 턱선을 만들고 싶다면 뼈를 깎아내는 대수술을 한 것만 못하겠지... 그래도 위아래 치아들이 일반 보통의 사람들과 똑같이 될수 있다는 것이 나에겐 큰 메리트였다.

위 사진이 입천장에 작은 나사 4개를 박아서 입천장에 단단히 고정된 상태로 중앙에 나사 돌리는 곳이 있는데 쇠붙이같은걸 끼워서 양쪽 어금니 포함 4개를 쇠의 힘으로 조금씩 벌어지게 해서 치아들의 자리를 잡는 과정.
이걸 박고나서 일주일정도 고통이 지속됬던 것 같다.
(처음 몇일은 잠을 못잘 정도로 드럽게 아팠다;;)
입천장과, 쇠철판? 부분을 살짝 띄워놔서 공간이 있는데 양치하거나, 가레침이 들끓을 때 가레도 잘 못뱉고, 밥먹을 때도 온갖 음식물들이 다 끼게된다.
https://excitingyong.com/788?category=727467
주걱턱 교정장치 제거 #20
어제부로 주걱턱 교정은 끝난 것 같다. 이제 마무리로 제일 마지막 표본인 깨끗한 치아, 가지런한 치아만 만들면 될것 같은데 윗니의 사이 사이에도 나사를 또 박을 일이 남았군 ㅡ.ㅡ;;;; 아... ��
excitingyong.com

이 장치는 1년5개월 정도 후 제거했다..
https://excitingyong.com/483?category=727467
비수술 부정교합 교정장치 장착 #4
다음엔 교정장치 장착을 하기로 예약하고 예약당일 재방문 했다. 장치 장착을 한다길래 별거 아니겠거니.. 하고 방문 한건데 조금 충격이였다.. 물론 어느정도 아플것도 예상은 했지만... 막상 �
excitingyong.com
이때 부터는 워터픽 필수로 사용해야만 했다.

그리고 윗 치아들을 전체적으로 당겨주는 역할을 하는 장치를 하루 12시간 씩 착용하고 잠을 잤었고, 거의 1년4개월 정도?? 동안 반복 했던 것 같다.
이렇게 부정교합을 맞추는 작업이? 끝나고 이젠 교정하면서 틀어진 치아들을 바로잡는 작업....

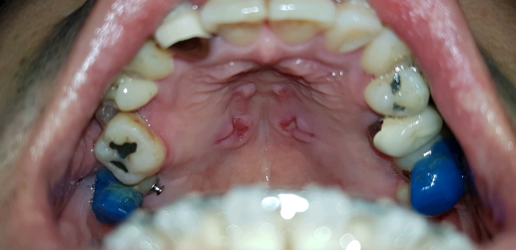
잇몸사이에 미니스크류(작은 나사) 박을 때 통증...?
부정교합 교정 할 때 입천장에 박았던 나사 박았을 때를 비교하자면 3분의2정도 통증이였다.
치아 사이에 박혀야 되는 스크류가 치아 뿌리가 있는 곳을 살짝 긁으면서 박혀서 두번, 세번을 거쳐서 다시 박았었다.. 그런데 이건 마취된 상태였음에도 통증이 심했다... 아프다고 손올리면 또 마취놓고, 기다리고 그러다가 먼저 뚫었던 부위가 부풀어 올라 스크류 박을 부위를 더 못찾을 것 같아 그냥 빨리 끝나기를 바라면서 주먹 꾸욱! 쥐고 참았다...
역시나 마취중이였을 땐 그래도 참을만 했는데 풀리고 햐... 겁나 아프다;;

너무 많이 뒤죽박죽 되어 있었던 내 치아들을 얇은 와이어줄과, 굵은 와이어 줄을 교체하 가면서 치아들을 조금씩 자리잡아 갔었고,

위 사진과 비교해 보면 치아들이 상당히 가지런히 된 모습이다.
그렇게 교정 시작한지 2년6개월이 흐르고 나서 드디어 끝이 보였다...
이제 교정이 끝나갈 무렵 어렸을 때(중딩시절) 주걱턱 교정 때문에 발치를 해야했던 하악 오른쪽 작은 어금니의 임플란트를 할 시기가 왔다...
주변에서 임플란트 너무 아프다, 드릴돌아가는 소리 참는게 너무 곤욕이다, 등등.. 워낙 많이 들었었고, 나 역시도 태어나서 처음 하는 임플란트라 너무 무서웠지만 이나이에 틀니를 끼고 살 수는 없지 않은가;;
해서 바로 시술 하려 했으나 양쪽해서 2개 박는데 320만원.... 거기다 뼈이식까지 포함하면 360;; 생각 했던 것 보다 가격이 많이 부담스러운 찰나 기억이 가물가물 한 치과에서 문자가 왔는데 임플란트 1개당 기본 76만원...? 상당히 파격적인 가격이라 방문하게 되었고, 상담결과 2개가 아닌 4개를 해야될 수도 있다고 한다;;
이유인즉슨 치아들끼리 양 옆으로 지탱해줘야 서로 튼튼한데 오른쪽 작은어금니를 뽑은지 너무 오래된 상태라(중딩때 주걱턱 교정때문에 멀쩡한 치아를 발치했었음) 어금니 뿌리가 잇몸에 살짝 걸쳐진 상태였고 치아교정때문에 부득이하게 치아가 하나 없는 상태임에도 와이어를 달고 무리하게 당겼기에 옆으로 임플란트를 하나 박는다 해도 어금니는 얼마못가 못쓰게 되서 뽑아야 된다고 한다.
하긴~ 예전부터 오른쪽 어금니를 살짝만 건들여도 흔들거리고, 아프긴 했기 때문에 나역시도 뽑아야되지않을까? 라는 생각은 항상 하고 있었다.
해당 치과에서 한번에 3개의 임플란트를 심기를 권했지만 비용은 둘째치고 치과 다니면서 워낙에 고통을 많이 겪어봤던 터라 두려웠다... 그리고 무서웠다...
나름의 합리적인 핑계로 한쪽으로라도 밥은 씹어 먹어야 되지 않겠냐고 둘러대면서 두개만 먼저 하기로 했다.
두개의 임플란트를 뼈이식 포함 192만원인가...? 아마 그정도였던 것 같다
살짝 의아해 한건 치아를 뽑는 동시에 바로 임플란트를 심는다는 것이였다
임플란트 통증
3년전 부정교합 시작하기 전의 내 치아 상태는 지금 생각해 보면 정말 최악?? 이였다.. 썩은치아와, 부정교합으로 인해 삐뚤어진 치아들... 그러다 주걱턱 교정 때문에 강남의 비수술 교정치과를
excitingyong.com
그리고 두달 보름 후 또다시 임플란트 하던 그날의 악몽같은 날이 다가왔다...
처음 상담할 당시에 두개를 해야 될 수도 있다고 말을 들었는데 혹시나 했는데 역시나 두개 다 해야 된단다;;
왠쪽 어금니는 사랑니가 어금니 뿌리를 밀면서 옆으로 누워서 자랐고, 그때문에 어금니 뿌리가 다 손상된 상태였는데 사랑니가 자랄 당시 아파도 진통제 먹으면서 버텼는데 도저히 못버틸때 쯤 아무 치과나 방문해서 제거 했던 이력이 있다.
그때문에 어금니의 썪는 부위가 점점 커졌고 작은 어금니의 뿌리까지 침범해서 그치아까지 고름이 차 있는 상태였다. (몇달전엔 갑자기 이 부분 잇몸통증이 너무 심했었고, 고름이 계속 흘러나온 적이 있었다. 그땐 진통제 먹어도 별 효과도없고 너무 고통스러워서 근처 치과에 들려서 어금니랑, 그 옆에치아까지 다 뽑아달라고 호소한 적이 있다. 물론 고름이 차 있는 상태에 치아교정까지 하고있는 중이라 다른 치과들도 교정이 잘못되면 애메한 상황이 될 수 있으니 섣불리 못건드리는 것 같은 느낌...? 여튼 그렇게 아팠지만 몇일 지나니 또 괜찮아 지더라..)

여튼 그렇게 두개의 임플란트를 더 시술하게 되었고 임플란트의 머리부위가(치아색의 구조물)올라가기 전 까진 밑의 유지장치는 본을 못 뜨고 있는 상태였고, 이것 때문에 치아교정 과정이 3달정도가량 더 늦어졌다.

그렇게 다시 교정전문치과 가서 마지막 밑의 치아들 본뜨고, 유지장치 제작에 들어갔고




이게 앞으로 최소 3년이상을 내 입속에서 함께 할 상, 하악의 유지장치이다.

두개 다 착용한 모습인데 뭔가 살짝 어설프네;;
그래도 이정도의 결과면 만족한다
평생의 콤플렉스의 부담은 덜수 있으니...
이로서 모든 비수술 주걱턱교정과, 치아교정, 그리고 임플란트 까지 다 끝났다.
이제부터 6개월에 한번씩 점검만 가면 된다.
여기까지 해서 총 들어간 비용을 정확히는 몰라도 어렴풋이 계산해 보자면
처음 비수술주걱턱 교정비용 700만
치아교정 보철비용, 상악, 하악의 유지장치
기타 레진, 인레이, 신경치료 등등... 200정도..
3년4개월 정도의 기간동안 매월 점검갈 때마다 5만원 = 200만원
지르코니아 임플란트 4개 + 뼈이식 = 302만원..?
빠트린 것도 있긴 한 것 같은데;; 일일히 다 기억은 못하겠고
대충 다해서 1400 조금 넘게 들어간것 같다..


3년6개월에 거쳐 모든 과정이 끝난 지금의 내 치아상태인데
상악은 확실히 바뀐게 보이긴 한다..
그런데 밑의 앞쪽 치아들 중 한 치아는 강제로 이동되서 약간 비스듬히 뿌리가 잡혀있는게 보인다.
아마도 유지장치가 없다면 이 치아가 다시 원래자리로 돌아가겠지...
여기까지가 나의 교정과정 이였고 오늘로써 모든 일기를 마친다..
그래도 삐뚤어진 치아들과, 주걱턱 교정은 어떤식으로 하는지 궁금해 하실 분들도 있을테니
일기형식으로 적어 봤습니다.
참고하세요. ^^
'부정교합 교정일기' 카테고리의 다른 글
| 임플란트만 벌써 4개째 수술... (7) | 2020.06.08 |
|---|---|
| 임플란트 통증#2 (8) | 2020.05.12 |
| 어느덧 26개월째 교정중... (9) | 2019.10.09 |
| 치아교정 #21 윗니 와이어 교체 (7) | 2019.01.19 |
| 주걱턱 교정장치 제거 #20 (17) | 2018.12.06 |